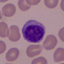
Linfocito:


Tamaño: 7-18Mm
Núcleo: redondo a ovalado, puede 
ser ligeramente identado
Nucléolos: ocacionales
Cromatina: condensada o ligeramente condensada
Citoplasma: escasp a moderado, celeste,
 puede presentar vacuolas.
NOTA: la diferencia de tamaño entre linfocitos 
pequeños y grandes se debe principalmente
 a la mayor cantidad de citoplasma.


Granulos:

Escasos asurofilos (violetas)


Relación N/C :

  • 3-5%
Intervalo de Referencia:

  • médula ósea: 5-15%,
  • sangre periferica: 20-40%

No hay comentarios:

Publicar un comentario